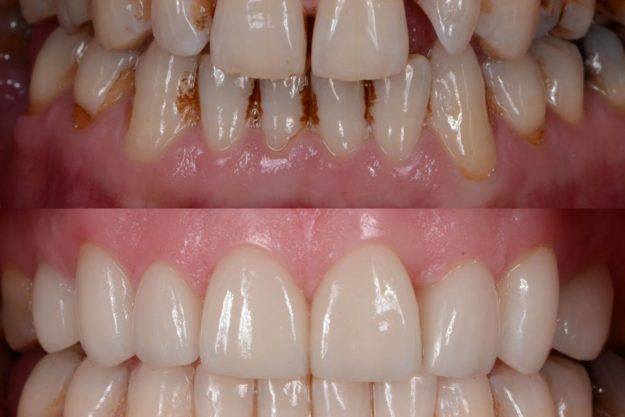
5 Benefits of Dental Veneers
Getting veneers for teeth could be one of the best decisions to make to improve a smile for years. As a cosmetic option, dental veneers are one of the best investments due to their longevity. Patients who get these on their teeth have several reasons to smile due to the many benefits they offer. 1.…

